TỔNG QUAN:
Tổng quan:
Khám sức khỏe định kỳ là một hoạt động quan trọng nhằm đánh giá toàn diện tình trạng sức khỏe của mỗi cá nhân. Qua đó, chúng ta có thể phát hiện sớm các bệnh lý tiềm ẩn, theo dõi sự phát triển của các bệnh mãn tính và đưa ra các biện pháp phòng ngừa hiệu quả.
Tại sao phải khám sức khoẻ định kỳ ?
- Giúp phát hiện bệnh sớm
- Hạn chế biến chứng
- Tiết kiệm chi phí
- Nâng cao chất lượng cuộc sống
Thời gian khám sức khoẻ định kỳ từ 6-12 tháng/ lần, sẽ giảm thiểu được tình trạng phát hiện bệnh ở giai đoạn cuối, và tốt hơn là chẩn đoán được nguy cơ của bệnh từ những giai đoạn đầu.
Hiện nay, dưới sự phát triển của công nghệ thông tin, ứng dụng công nghệ trong các ngành nghề, khối ngành sức khoẻ cũng luôn đề cao việc ứng dụng các kĩ thuật, thiết bị hiện đại trong việc tầm soát, chẩn đoán và điều trị. Bởi thế, tầm soát sức khoẻ định kỳ bằng chẩn đoán hình ảnh đã được các nhân viên y tế hiểu và áp dụng thường xuyên.
Chẩn đoán hình ảnh là một tập hợp các kỹ thuật y khoa sử dụng các thiết bị chuyên dụng để tạo ra hình ảnh của các cơ quan và cấu trúc bên trong cơ thể. Những hình ảnh này cung cấp cho các bác sĩ một cái nhìn chi tiết về tình trạng sức khỏe của bệnh nhân, từ đó giúp chẩn đoán sớm các bệnh lý tiềm ẩn.
Các kỹ thuật cận lâm sàng hiện nay:
Thăm dò chức năng:
Đo gắng sức tim mạch, điện tim…
Đo hô hấp kí
Nội soi đường tiêu hóa trên: thực quản – dạ dày – tá tràng
Nội soi đường tiêu hóa dưới : đại tràng – trực tràng
Xét nghiệm:
Tầm soát đái tháo đường, rối loạn chuyển hóa lipid,
Tầm soát chức năng gan, chức năng thận, chức năng tuyến giáp
Tầm Các bệnh khớp và tình trạng viêm, rối loạn điện giải, nhiễm virus hay ký sinh trùng
Tầm soát các loại ung thư.
Chẩn đoán hình ảnh:
X-quang số hóa phổi thẳng
Siêu âm: SA bụng tổng quát, SA tuyến giáp, SA Doppler tim, SA tuyến vú, SA Doppler hệ động mạch cảnh- mạch máu
Đo mật độ khoáng xương bằng phương pháp DEXA
Chụp Mamography vú: Tầm soát và chẩn đoán ung thư vú giai đoạn sớm khi chưa có dấu hiệu lâm sàng.
Chụp cắt lớp điện toán (CT): CT phổi liều thấp
Chụp cộng hưởng từ (MRI): Não, bụng và chậu
CÁC KĨ THUẬT CHẨN ĐOÁN HÌNH ẢNH:
Hiện nay, việc tầm soát khám sức khoẻ định kỳ có rất nhiều kĩ thuật chẩn đoán hình ảnh. Vì thế, chúng ta phải cân hiểu được vai trò, tính chất của những chẩn đoán hình ảnh nhằm để lựa chọn và thực hiện.
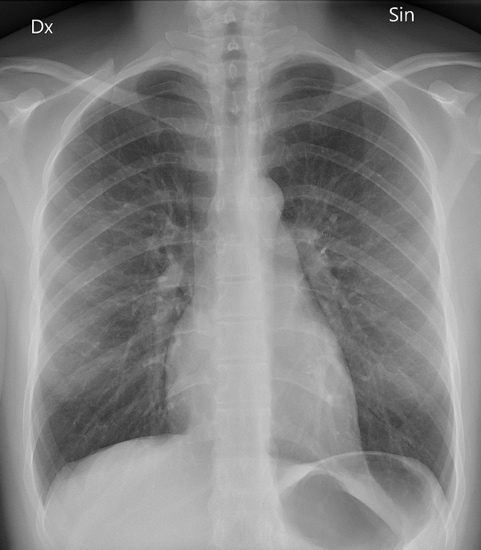
X-quang ngực thẳng số hoá:
X-quang ngực thẳng số hoá Là kỹ thuật phổ biến nhất, sử dụng tia X để tạo ra hình ảnh của xương và các cơ quan nội tạng. Phát hiện được các bất thường sớm trong lồng ngực như:
Bệnh phổi: viêm phổi, viêm phổi do lao, giãn phế quản, u, .…
Bệnh tim: bóng tim lớn, bệnh val tim, …

Hình 1. Chụp X-quang ngực thẳng số hoá.

Hình 2. X-quang ngực thẳng bình thường
Các kỹ thuật siêu âm:
Siêu âm bụng tổng quát: giúp quan sát các cơ quan trong ổ bụng như gan, mật, tụy, lách, thận, bàng quang, tử cung (phần phụ), tuyến tiền liệt… thông qua những hình ảnh thu được
Siêu âm tuyến giáp: Xác định các bệnh của tuyến giáp như nang, nhân đặc, bướu giáp, cường giáp, suy giáp,…
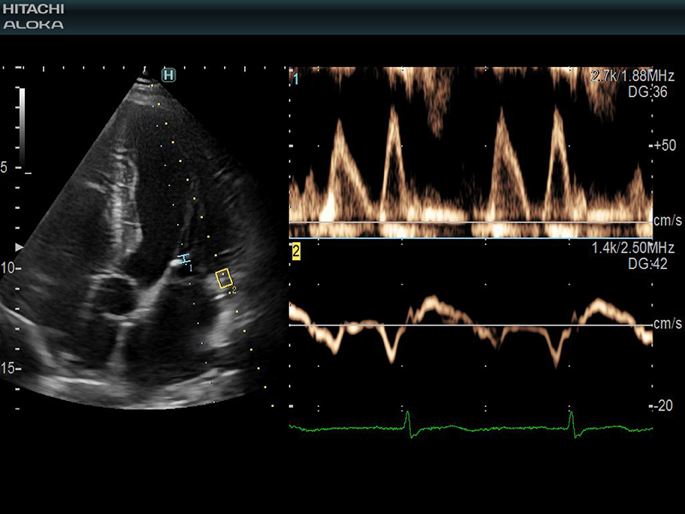
Siêu âm Doppler tim: Xác định các bất thường của cơ tim, van tim và đánh giá chức năng vận động của tim.
Siêu âm tuyến vú: Đánh giá những bất thường và chẩn đoán u xơ, nang, xơ hoá,…
Siêu âm Doppler hệ động mạch cảnh: Sàng lọc tình trạng bệnh nhân tắc nghẽn hoặc hẹp động mạch cảnh.

Hình 3. Thực hiện kĩ thuật siêu âm.

Hình 4. Kết quả siêu âm.
Siêu âm là một kĩ thuật mang lại rất nhiều lợi ích trong việc chẩn đoán lẫn tầm soát vì thời gian khảo sát ngắn, không gây đau, không có tác dụng phụ. Qua siêu âm có thể phát hiện được những bất thường các cơ quan bên trong cơ thể như:
Gan: viêm, xơ gan, gan nhiễm mỡ, áp xe gan, u gan lành hay ác tính.
Mật: sỏi mật, u, viêm túi mật, polyp túi mật, dị dạng đường mật.
Tụy: u tụy, viêm tụy cấp và mạn, tụy bẩm sinh
Lách: lympho lách, áp xe lách, lách to, các u lách.
Hệ tiết niệu: sỏi, viêm, ung thư thận, viêm bàng quang, u bàng quang
Hệ sinh dục: u nang buồng trứng, ung thư buồng trứng, u xơ tử cung, viêm tiền liệt tuyến, ung thư tuyến tiền liệt.
Hệ tiêu hóa: viêm ruột thừa, viêm ruột, u, xoắn ruột, lồng ruột.
Khác: Dịch ổ bụng, dịch màng phổi, dịch màng tim, …
Siêu âm tuyến giáp:
Xác định các bệnh của tuyến giáp: nang, nhân đặc, bướu giáp, cường giáp,…
Hình 5. Siêu âm tuyến giáp
Siêu âm Doppler tim:
Xác định các bất thường của cơ tim, van tim và đánh giá chức năng vận động của tim.

Hình 5. Siêu âm Doppler tim
Siêu âm tuyến vú:
Đánh giá những bất thường và chẩn đoán u xơ, nang, xơ hoá,…

Hình 6. Siêu âm tuyến vú
Siêu âm Dopplẻ hệ động mạch cảnh:
Sàng lọc tình trạng bệnh nhân tắc nghẽn hoặc hẹp động mạch cảnh.

Hình 7. Siêu âm Doppler hệ động mạch cảnh
Siêu âm Doppler mạch máu:
Khảo sát : ĐM cảnh – sống đoạn ngoài sọ, động tĩnh mạch chi trên, chi dưới, ĐM chủ bụng, các ĐM nuôi các tạng trong ổ bụng, ĐM thận, mạch máu não

Hình 8. Siêu âm Doppler mạch máu
Đo mật độ khoáng xương bằng phương pháp Dexa:
Đây là kỹ thuật thường xuyên được thực hiện ở những người lớn tuổi nhằm tầm soát và chẩn đoán loãng xương.
Loãng xương được chia thành hai nhóm chính:
- Nguyên phát: Thường gặp ở phụ nữ sau mãn kinh, người cao tuổi.
- Thứ phát: Do các nguyên nhân như rối loạn nội tiết, bệnh gan thận …

Hình 9. Đo mật độ khoáng xương bằng phương pháp Dexa
Chụp nhũ ảnh:
Tầm soát và chẩn đoán ung thư vú giai đoạn sớm khi chưa có dấu hiệu lâm sàng.

Hình 10. Chụp nhũ ảnh
Chụp CT phổi liều thấp:
Liều xạ thấp ở mức 2mSv/1 lần chụp (so với liều chuẩn 6-8 mSv)
Phát hiện sớm các trường hợp ung thư phổi giai đoạn sớm (X-quang có thể âm tính) giúp giảm tỷ lệ tử vong .
Tác dụng trong việc sàng lọc ung thư phổi, giúp giảm tỷ lệ tử vong và tăng thời gian sống thêm sau 5 năm ở bệnh nhân ung thư phổi

Hình 11. Chụp CT phổi liều thấp

Hình 12. LDCT tổn thương ở phổi(P): nốt đặc, nốt bán đặc, nốt kính mờ. Nốt kính mờ có thể sẽ chuyển thành nốt bán đặc sau 5 năm, nếu có tình trạng này thì nguy cơ ung thư phổi rất cao.
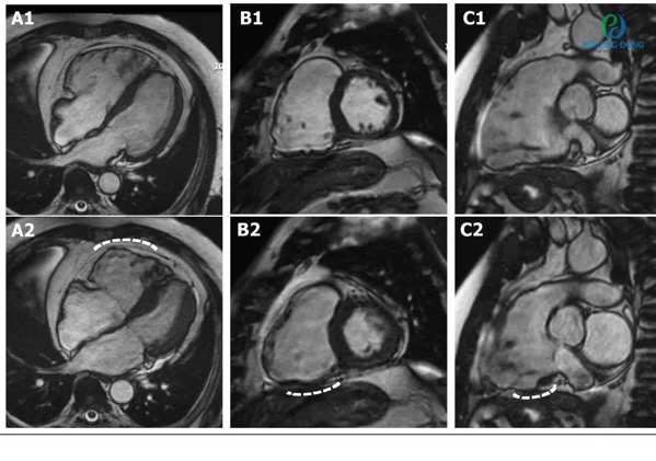
Chụp cộng hưởng từ (MRI):
Cộng hưởng từ là kỹ thuật nhằm phát hiện ra những bất thường về nhiều cơ quan trong cơ thể.

Hình 13. Kỹ thuật chụp MRI
Tầm soát u não – đột quỵ não

Hình 14. Hình ảnh MRI não
Chức năng tim

Hình 15. Hình ảnh MRI tim
Khớp gối: Nhiều chuỗi xung 3D cho độ phân giải rất cao, hiển thị sụn viền rõ cùng nhiều chương trình giúp đánh giá thoái khớp khớp sớm

Hình 16. Hình ảnh MRI khớp gối
ỨNG DỤNG CHẨN ĐOÁN HÌNH ẢNH TRONG KHÁM SỨC KHOẺ ĐỊNH KỲ:
Tùy theo độ tuổi nhất định mà bạn cần thực hiện các xét nghiệm tầm soát khác nhau vì nó liên quan đến nguy cơ mắc bệnh tương ứng với lứa tuổi.
Với những người có tiền sử cá nhân, gia đình mắc bệnh tim mạch, ung thư hay có các thói quen không tốt cho sức khỏe như uống bia rượu, hút thuốc, ăn nhiều chất béo, ít chất xơ… có thể làm tăng nguy cơ mắc bệnh nhiều hơn so với tuổi.
Các gói khám sức khoẻ:
Tại bệnh viện Đại học y dược:
- Cơ bản: Chụp X-quang số hóa phổi Thẳng, Siêu âm ổ bụng tổng quát
- Nâng cao: 1+ Siêu âm tuyến giáp, Siêu âm Doppler tim , Siêu âm tuyến vú cho phụ nữ, SA động mạch cảnh
- Chuyên sâu: 2+ Siêu âm mạch máu chi dưới, Đo mật độ khoáng xương bằng phương pháp DEXA
- VIP: 3+ CT phổi liều thấp +MRI: Não, tim mạch máu, toàn thân, …
Các gói khám sức khoẻ khác:
- CƠ BẢN
Chụp X-quang số hóa phổi Thẳng
Siêu âm ổ bụng tổng quát
Siêu âm tuyến giáp
- NÂNG CAO
1+ Siêu âm Doppler tim + Siêu âm tuyến vú cho phụ nữ
- CHUYÊN SÂU 01: 2+ CT phổi liều thấp
- CHUYÊN SÂU 02: 3+ MRI sọ não
- KHÁM VIP: 4+ Chụp Mamography vú (không áp dụng với phụ nữ có thai)